やまむら歯科 IMPLANT site

menu

* *

歯を失ってお困りの方は、
やまむら歯科にお任せ下さい

骨がないと言われてしまった
歯を全て失ってしまった
痛みなどの恐怖心がある
セカンドオピニオンとして

やまむら歯科の8つの特徴

Yamamura dental clinic IMPLANT

実績のある院長が
すべてのオペを担当

*
*
more

歯科用専門機器による
適切な診断

*
more

インプラント専用の
オペ室

*
more

院長による
無料カウンセリング

*
more

恐怖心が強い方に向けた、
麻酔医による静脈内鎮静麻酔

*
*
more

1DAY
インプラント対応

*
more

インプラント
年間300症例の実績

*
more

骨が足りない
方にも対応

*
more
*

*

こんにちは。
愛知県刈谷市にある、やまむら歯科クリニック、理事長の山村昌弘です。

当院では、医療で一番大切なのは、何よりも最初の「診断」だと考えます。
適切な診断を可能にするもの。それは、正しい知識と豊富な臨床経験に他なりません。当院では早くからこのことに着目し、「検査」「診断」についての勉強会にも通年を通して参加しており、その精度を高める努力を続けています。

やまむら歯科の診断のレベルを高める裏付けとして、年間500件以上のカウンセリング・診断実績を始め、年間300症例以上のインプラント治療の実績があります。

「充実した診療環境」「豊富な診断実績」を最大限に活用して、皆様の健康に貢献したいと思います。

そして皆様が、「お口の中の事なら、やまむら歯科に任せておけば間違いない」と安心していただけるような体制を構築していきます。

*

無料カウンセリング・ご予約希望はこちらから

0566-63-9777 休診日:日曜のみ(祝日は診療しています)

院長紹介

Chief of Yamamura dental clinic
*

理事長 山村昌弘

経歴
1998年
愛知学院大学歯学部卒
愛知県豊田市 小島歯科入局
2003年
やまむら歯科 開業 院長就任
2008年
医療法人 志朋会 設立
日本口腔インプラント学会 認定医
日本補綴歯科学会 会員
日本糖尿病協会 登録歯科医
スタディグループ N1会
スタディグループ MMG(Mastermind Group)
日本歯科医師会 愛知県歯科医師会 刈谷市歯科医師会

* 当院では、全てのインプラント手術を理事長の私が行います。
もし、私がインプラント治療において1番重要なことは何ですか?と問われたなら、迷わず「診査診断です」と答えるでしょう。もちろん、インプラント処置をきちんと正確に、確実に、素早く行える技術も非常に大切です。しかし、そのインプラントの位置が適切な位置でなかったら?元も子もないですよね。

「決められたことを正しく行うこと」は必要であり、とても重要ですが、「正しいことを判断し、行うこと」の方が先にあるべきで、より大切なのです。

当院では、年間カウンセリング500件、インプラント年間300症例の実績に基づいた、患者様一人ひとりにあった適切な治療計画を作成します。 安心してお気軽にカウンセリングにお越し下さい。

歯科用CTによる
適切な診断

Appropriate diagnosis by CT

* インプラントに最も重要なことは、「診断」です。
歯科用CTを撮影しておかないと、いざ手術が始まったときに骨の量が少ないため、インプラントが入れられないということが起こりえます。そうなると、治療計画の変更が必要になり、患者様に非常に大きな負担となってしまいます。

歯科用CTを事前に撮影しておくことで、骨の密度や血管・神経などの位置を正確に知る事ができる、より確かな診療と質の向上が可能になります。 手術前にしっかりと検査を行い、正確な治療計画を立てることは手術の安全性においてとても重要です。

インプラント専用のオペ室

Operating room dedicated to IMPLANT

* インプラントは外科手術を伴いますので、感染を避けるため、一般の診療室とは隔離された清潔な環境の完全個室のオペ室で行っております。

インプラント
無料カウンセリング

Free IMPLANT counseling
*

インプラントのカウンセリングは、カウンセリングルームにて理事長が行います。患者様のお話を全て伺いますので、気になることは何でもご相談下さい。

カウンセリング内容

①レントゲン撮影
②口腔内の簡単な検査
③治療方針の説明
④費用・通院回数・通院期間の説明

1DAYインプラント対応

1 day IMPLANT

* やまむら歯科は、「1Dayインプラント」を得意とする歯科医院です。

1Dayインプラントとは、名前の通り1日で完成できるインプラント治療の術式です。インプラント治療は、インプラントが顎の骨と結合するのを待つ必要があるため、通常埋入してから4~6ヵ月待ってから人工歯が入ります。
しかし、1Dayインプラントならば、治療したその日のうちに人工の歯を入れることができます。手術したその日に帰宅でき、その日のうちに自分の歯のような感覚で噛むことができる治療方法です。

通常2回かかる手術が1回で済み、通院期間・通院回数・痛み・腫れなどの患者様の負担を大きく軽減することが可能です。しかし、診断と技術が必要になるため、どこの医院でも行える手術方法ではございません

1Dayインプラントの流れ

*

1回目来院

カウンセリング+精密検査
(レントゲン・CT・
口腔内の状態確認)

*
*

2回目来院

インプラント手術
+上部構造の型取り
+上部構造完成・装着

※治療時間は、約1時間で終了します。
※上部構造の型取りをしてから上部構造が完成するまでに数時間ほどかかりますので、院内にてゆっくり休憩していただきます。

インプラント年間
300症例の実績

Achievement of 300 IMPLANT cases per year

* やまむら歯科では、年間300症例にも及ぶインプラント手術を行っております。
インプラント治療を行う歯科医院もかなり増えましたが、難症例となるとどこの歯科医院でもできるというわけではありません。しかしながら、実際はインプラント治療だけで完結する患者様はごくわずかで、大半の方が天然歯と混在していますので総合力が大切です。

当院では、口コミやご紹介で愛知県や刈谷市以外も、他県から多くの患者さんにもお越しいただいております。インプラントが気になっているという方や、セカンドオピニオンとしても無料でカウンセリングさせていただきますので、お気軽にお問い合わせください。

骨が少ないと
言われた方でも対応

Bone augmentation treatment

* インプラントを安全に埋入するにはある程度の骨の高さや厚みが必要になります。やまむら歯科では、骨が少なくてインプラントができないと言われた方でも、骨を増やす骨造成を行うことで安全に治療を受けることができます。

治療流れ

IMPLANT flow

01

*

カウンセリング・各種検査

カウンセリング
患者さまのお悩み、治療へのご要望などを丁寧に確認します。
口腔内診査
マイクロスコープや拡大鏡を使用して、歯や歯肉の状態を詳細にチェックします。
パノラマレントゲン写真
パノラマレントゲン撮影をし、虫歯、歯周病、顎骨の評価などを行ないます。1枚のレントゲンで口全体を2次元的に評価できます。
CT検査
CT撮影によって、骨の状態を3次元的に分析します。骨の幅、高さがより精確に計測でき、同時に重要な神経、血管の位置も把握できるので、より安全な埋入計画の立案が可能です。 骨の量などが充分でないと判断された場合は、骨を造成するための手術を検討・提案させていただく場合があります。
噛み合わせ診査
歯型を取って模型を作製したうえで、3次元的にさまざまな分析をします。ワックスとよばれるロウで歯の形を作製し、インプラントを埋めるシミュレーションを行なうことを「診断用ワックスアップ」といいます。これによる情報とCT検査に基づいて、噛み合わせを復元できるインプラント埋入位置を決めていきます。

02

*

診断・プランニング

上記の検査の結果をもとに診断し、口腔内写真、CT、診断用ワックスアップをお見せしながら治療方法をご提案します。治療の期間、費用、メリット・デメリットなどを患者さまにご説明します。

治療に対してご不安なことや、疑問点にもお答えします。
治療計画にご納得いただいたうえで、患者さまの同意のもと治療を開始します。

03

*

インプラント手術

インプラント埋入
術前の診査、診断に基づきインプラントを埋入します。患者さまの顎骨の状態に合わせ、適したインプラントを選択します。インプラント本体には異なる長さ、太さ、形態のバリエーションがあり、顎骨の形や質と最終的な仕上がりを考慮して、それぞれの特徴を生かした治療を行なっています。
インプラント手術

静脈内鎮静法について

点滴で鎮静剤を投与する方法です。インプラント手術に対し、少し不安な気持ちをお持ちの方に適しています。不安や恐怖心を和らげ、リラックスして治療を受けられます。
やまむら歯科には歯科麻酔に専門的に携われる医師が在籍しているので、安心して静脈鎮静をお受けください。生体モニターを用いて、全身状態を管理したうえで、鎮静を行ないます。意識はありますが、ほとんど眠っているような状態になり、健忘効果があるため、処置時間が短く感じられます。 口を開けて診療している際におえっとなる「嘔吐反射」が出やすい方にも有効です。全身麻酔とは異なるので、通常の歯科治療同様、注射による局所麻酔を併用します。
当日帰宅できますが、車の運転はできません。

04

*

インプラント手術後の治癒

インプラント埋入後には、インプラントと骨が結合するために1ヵ月半〜2ヵ月の治癒期間が必要になります。

05

*

上部構造の作製

上部構造とよばれる、インプラントの上に接続する被せ物を作製します。上部構造を装着しインプラント治療は完了となります。

治療法比較

Treatment comparison

失われた歯をおぎなう治療方法は、インプラント・入れ歯・ブリッジの3つです。
3つの治療方法には長所や短所があります。
審美的に美しく、天然歯とほとんど同じ機能性を得られる治療方法がある一方で、
ほかの健康な歯への影響が強く出たり、咀嚼能力が落ちてしまったりするような治療方法もあります。
それぞれの違いをよく知り、
自分に合った治療方法を選ぶことが大切です。

インプラント

*

入れ歯

*

ブリッジ

*
機能性

天然歯とほぼ同等

*

咀嚼機能が低下する

*

天然歯とほぼ同等

*
審美性

天然歯とほぼ同等

*

入れ歯のバネ部分が目立つ

*

ブリッジの金属部分が目立つ

*
治療部分の違和感

なし

*

異物感が強い

*

なし

*
ほかの歯への影響

なし

*

バネをかける歯への負担がある

*

隣の健康な歯を削る必要がある

*
顎の骨への影響

なし

*

歯の抜けた部分の骨が痩せる

*

歯の抜けた部分の骨が痩せる

*
寿命

半永久的

*

7~8年程度

*

7~8年程度

*
治療条件

持病、歯周病がある
場合は要注意

*

特に条件なし

*

ブリッジを支える歯が必要

*
治癒期間

6~24週間程度

*

短期間

*

短期間

*
保険

保険適用外
(自由診療)

*

保険適用

*

保険適用

*

症例集

IMPLANT case

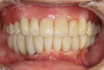
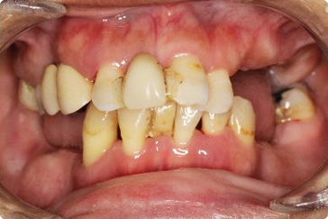
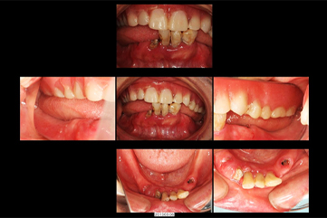
女性 60代

上下顎 入れ歯+インプラント

治療前

*
*

治療後

*

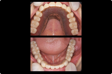
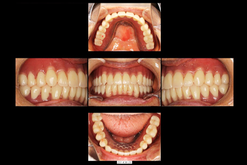
女性 40代

上顎 入れ歯+インプラント
下顎 連結

治療前

*

治療前

*
*

治療後

*

治療後

*

治療前

*
*

治療後

*

料金表

IMPLANT price list

インプラントは保険適用外の為、自由診療となります。下記料金は税込み表記です。

診断料金
診断料(CT撮影費含む)
¥33,000

※ 価格は全て税込み表示です。

※ インプラント治療を行う前に、CTにて顎骨の密度や厚み、血管、神経の走行や埋入位置、埋入方向、深度確認等の確認・診断が必要となります。

印象採得
個人トレーimp
¥3,300

※ 価格は全て税込み表示です。

※ 個人トレーimpとは、人工歯を作る為に必要な印象(歯型)を取る事です。

上部構造(人工歯)
前歯
¥165,000
奥歯(前歯以外)
¥132,000

※ 価格は全て税込み表示です。

※ 上部構造とは、インプラントの上のかぶせ物(人工歯)の事です。

処置料金
X-GUIDE使用費(上下)
¥44,000
X-GUIDE使用費(片顎)
¥22,000
上下ステント
¥44,000
片顎ステント
¥22,000
一次処置~二次処置
¥242,000

※ 価格は全て税込み表示です。

※ アバットメントとは、上部構造の土台の事です。

アバットメント(支台)
前歯)
¥99,000
奥歯(前歯以外)
¥66,000

※ 価格は全て税込み表示です。

※ より精度の高いインプラント治療の為に、上記X-GUIDE(3Dナビ)やステント(インプラント埋入時のガイドプレート)を使用し治療を行います。

患者様から
よくある質問

Frequently Asked Questions

Q

年齢制限はありますか?

A

健康な18歳以上の方なら問題ありません。高齢者の方も問題なく治療ができます。

Q

交通事故で歯をなくした場合でもできますか?

A

できます。骨がどの位残っているかが問題ですので、条件が良ければ非常にやりやすいかもしれません。

Q

インプラントのデメリットは何ですか?

A

●外科手術が必要です――とはいえ、手術中の痛みはほとんどありません。患者さんが希望であれば、寝ている間に手術をすることもできます。
●噛めるまでに期間がかかる――通常のケースでは数ヶ月はかかりますが、患者さんの状態により、手術をした日に噛めるようにすることも可能です。
●費用がかかる――インプラントは健康保険を適応できないため、費用がかかります。しかし、インプラント治療を行ったことによる健康への寄与を考えると決して高い費用とはいえないと思っております。また、万が一何かあった場合には保証もついておりますので安心です。

Q

インプラント治療後の腫れはありますか?

A

インプラント埋入手術後、インプラント部が腫れます。腫れる程度は手術の状況によりことなりますが、次第に腫れは引きますので心配はいりません。 また手術部位に関連して内出血が起きて顔の一部が紫色になることがあります。このようになった場合にも心配はいりませんが、治療を受けた先生にご相談ください。

Q

金属アレルギーは大丈夫ですか?

A

チタンは金属の中でもかなりアレルギーは少ない金属です。しかし、もしチタンアレルギーの方にインプラントを入れると、インプラントが抜けてきます。チタンアレルギーの疑いがある場合はパッチテストなどで調べる必要があります。

Q

手術中はずっと口を開けてなくてはいけませんか?

A

器具の取り替え時など、患者さんが口を楽にする時間を設けておりますので、どうぞご安心ください。

Q

インプラント治療後の注意を教えてください。

A

インプラントは骨としっかりと結合しますが、天然歯と比較すると粘膜との結合が弱いため、感染し易い欠点があります。したがって、歯ブラシやその他の器具を用いた患者さん自身による毎日の口腔清掃が極めて重要です。 さらに、治療後の良好な状態を長期維持するためには、定期的な経過観察(メインテナンス)が欠かせません。 患者さん自身による口腔清掃が十分でない場合あるいはまた定期的なメインテナンスがおこなわれない場合、問題が起きる可能性が高くなります。

Q

治療期間はどのくらいですか?

A

早い方なら、約2ヶ月程度で正常に噛めるようになっています。ただし、患者さんの食いしばりや歯ぎしりなどにより、多少伸びる場合もございます。また、歯周病治療直後のインプラント埋入など、手術のリスクが高かった場合は、少し様子を見なくてはいけないためさらに数ヶ月かかります。

Q

インプラント治療後に定期的に来院するよう指示されました。その理由について教えてください。

A

治療後の良好な状態を長期維持するためには、治療を担当した歯科医による定期的な経過観察(メインテナンス)が極めて重要です。 インプラント治療後に起きる問題を未然に防止するため、あるいは問題が起きても早期に解決するためには、メインテナンスが重要であることをご理解ください。

Q

インプラント治療を受けた場合、MRIやCTによる画像診断への影響はありますか?

A

チタンあるいはチタン合金のインプラントを用いてインプラント治療を受けた場合、そのインプラントがMRIによる画像診断に影響を及ぼすことはありません。しかし、インプラントの上部に磁石が付いた構造物が装着されている場合には、MRIの画像が乱れることがあるので注意が必要です。また、チタンのインプラントが埋まっていることによって、CTによる画像診断が影響されることもあります。

アクセス

Access to Yamamura dental clinic

刈谷市やまむら歯科は、豊田市、知立市、みよし市、豊明市、東郷町の市境にあるので、アクセスがしやすくなっています。
また、大きな駐車場がございますので、ご安心してお越しください。

*

JR名古屋駅から40分

JR名古屋駅(徒歩5分)

名鉄名古屋(名鉄名古屋本線<豊橋方面>20分)

知立駅(名鉄バス・愛知教育大学行15分)

バス停「西境」で下車徒歩5分

*

名鉄知立駅から15分
名鉄日進駅から20分

名鉄知立駅から名鉄バス「愛知教育大学行」で15分
または
名鉄日進駅から名鉄バス「愛知教育大学行」で20分

バス停「西境」で下車徒歩5分

*

駐車場100台あり

豊田市役所より一般道で20分

春日井ICより高速道路と一般道で合計35分

無料カウンセリング・ご予約希望はこちらから

0566-63-9777 休診日:日曜のみ(祝日は診療しています)
*
*
*
*